

A new generation treatment plan for your gum problems. Treatment methods depend upon the type of disease and how far the condition has progressed. Many times, the early stages of periodontal disease are best treated with non-surgical periodontal therapy. This usually consists of placing a fine ultrasonic tip or hand scaler/curette in between the tooth and gum tissue to remove bacterial plaque and calculus (tartar) below the gum line. The tooth roots may also be planed to smooth the root surfaces. This procedure is commonly known as Scaling and Root Planing or Periodontal Debridement. This initial periodontal therapy along with good personal oral hygiene allows the gum tissue to heal and reattach to the tooth. Four to six weeks later, periodontal pockets are eliminated due to gum shrinkage (if the disease is in its earliest stage). Then the patient can personally maintain these areas with routine brushing and flossing. Recent advances in dental technology have enabled us to utilize a very small camera at the end of a periodontal probe, much like the technology used in arthroscopic procedures. This probe can comfortably access the base of periodontal pockets to allow for complete visualization of the infected root surface at as much as a 40 times magnification. Periodontal debridement can then be performed allowing more complete root cleaning. In addition, we can visualize many other problems, i.e. root fractures, root decay, root resorption, etc., which otherwise can only be visualized through surgical procedures.
Correction of malaligned tooth using wires and invisible ortho dentures. Orthodontics is the branch of dentistry that corrects teeth and jaws that are positioned improperly. Crooked teeth and teeth that do not fit together correctly are harder to keep clean, are at risk of being lost early due to tooth decay and periodontal disease, and cause extra stress on the chewing muscles that can lead to headaches, TMJ syndrome and neck, shoulder and back pain. Teeth that are crooked or not in the right place can also detract from one's appearance. Many different types of appliances, both fixed and removable, are used to help move teeth, retrain muscles and affect the growth of the jaws. These appliances work by placing gentle pressure on the teeth and jaws. The severity of your problem will determine which orthodontic approach is likely to be the most effective. Any of the following method are adopted for orthodontic treatment : Braces, Special fixed appliances, fixed or removable space maintainers, aligners, jaw responding appliances, lip and cheek bumpers, palatal expanders, removable retainers, headgear.

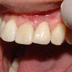
A permanent solution for one or more lost tooth. As the name suggests, Fixed partial dentures or FPD are tooth replacements that are fixed permanently in the mouth and cannot be removed for routine cleaning by the patient. These dentures are made by taking support from adjacent natural teeth. Unfortunately these dentures can replace only a few missing teeth. When a large number of teeth are missing, the treatment option would be either Implants or Removable partial denture or RPD. Fixed partial dentures are of various types. They are made of either porcelain ( Ceramic) or metallic alloys. The metallic FPD's are made of either gold alloys or chrome cobalt alloys. In case of tooth loss, crown and bridge treatment may also be the right restorative option for you. This long-term solution can help prevent the cycle of problems that can occur when just one tooth is missing, such as shifting of the remaining teeth, decay, and periodontal disease and bone loss. A very badly damaged tooth may be difficult or impossible to restore to correct form and function using a direct dental restorative material such as amalgam or dental composite. In such cases we apply crown and bridge treatment. A crown - sometimes called a "cap" - is a tooth-like covering placed over a carefully prepared existing tooth. It is used to strengthen, restore or improve the appearance of your natural tooth. The crown or "cap" fits over a carefully prepared existing tooth. Single crowns are advised when a large portion of the tooth has been damaged by decay. Crowns are made up of precious metal alloy, semiprecious metal alloy, porcelain, or a reinforced aluminosilicate-type ceramic system such as Procera.

Dentures (more commonly known as false teeth) are prosthetic devices constructed to replace missing teeth, and are supported by surrounding soft and hard tissues of the oral cavity. Conventional dentures are removable, but there are many different denture designs, some which rely on bonding or clasping onto teeth or dental implants. A temporary removable partial denture (Also called Flipper) is used to fill the gap(s) between teeth before a more permanent treatment can be done. Although the flipper is usually cheaper and easier to make, because of the lack of dimensional stability and functional strength, it is only recommended to wear it for less than a year. A flipper is recommended by our dentists if you are looking to replace a missing tooth or a few missing teeth for a short period of time only. A removable partial denture (RPD) is for a partially edentulous dental patient who desires to have replacement teeth for functional or aesthetic reasons, and who cannot have a bridge (a fixed partial denture) for any number of reasons, such as a lack of required teeth to serve as support for a bridge or due to financial limitations. The reason why this type of prosthesis is referred to as a removable partial denture is because patients can remove and reinsert them when required without professional help. A complete denture is made when the patient is missing all of his/her upper and/or lower teeth. A complete denture can enhance the look of a patient's smile and restore chewing function to a certain level.

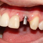
A solution to completely edentulous mouth. A dental implant is an artificial tooth root that is placed into your jaw to hold a replacement tooth or bridge. Dental implants may be an option for people who have lost a tooth or teeth due to periodontal disease, an injury, or some other reason. Endosteal (in the bone): This is the most commonly used type of implant. The various types include screws, cylinders or blades surgically placed into the jawbone. Each implant holds one or more prosthetic teeth. This type of implant is generally used as an alternative for patients with bridges or removable dentures. Subperiosteal (on the bone): These are placed on top of the jaw with the metal framework's posts protruding through the gum to hold the prosthesis. These types of implants are used for patients who are unable to wear conventional dentures and who have minimal bone height. Dental implants are intimately connected with the gum tissues and underlying bone in the mouth. Our expert periodontists are specialized in these areas, they are the ideal members for your dental implant. Not only do periodontists have experience working with our dental team, they also have the special knowledge, training and facilities that you need to have teeth that look and feel just like your own. Our team of dentist and periodontist will work together to make your dreams come true.